The 120mm Aneurysm Challenge: How Beijing Fuwai Hospital Expert Team Defused a Secondary Rupture Crisis in an 85-Year-Old Patient.

The 120mm Aneurysm Challenge: How Beijing Fuwai Hospital Expert Team Defused a Secondary Rupture Crisis in an 85-Year-Old Patient.

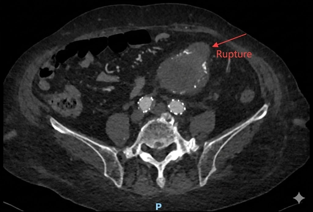
🩺 [Challenge: Complex Case]

An 85-year-old patient with a history of emergency surgery for ruptured abdominal aortic aneurysm (AAA).

Presented with acute pain and a massive 120mm aneurysm. Complicated by systolic blood pressure over 200mmHg and extreme secondary rupture risks.

⚖️ [Decision: Surgical Strategy]

Open surgery was ruled out due to intolerable physical trauma for a geriatric patient.
The expert team at Beijing Fuwai Hospital identified the core issue: a Type IA endoleak.
The "Minimally Invasive EVAR + Precision Embolization" plan was chosen to resolve the crisis with minimal intervention.

🛠️ [Core: Surgical Essentials]
Performed "Aortography + Endovascular Aneurysm Repair (EVAR)".
Precise embolization was executed at the gap between the existing stent and the vessel wall.
A supplementary covered stent was deployed to perfectly seal the leak and depressurize the aneurysm sac.

✨ [Summary: Clinical Insights]
This case demonstrates that high-precision EVAR can successfully replace high-risk open re-interventions.

Patient mobilization within 48-72 hours post-op marks a significant success in treating high-risk geriatric cases.

Back to blog

Leave a comment

Please note, comments need to be approved before they are published.